|
Getting your Trinity Audio player ready... |
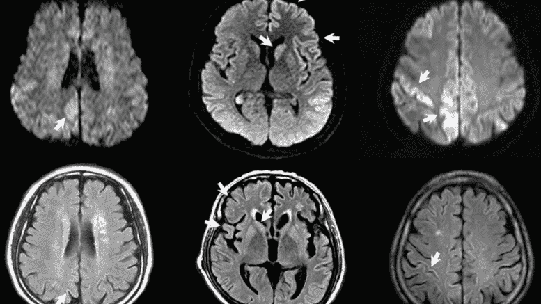
Prion disease is the animal equivalent of Bovine Spongiform Encephalopathy (BSE), or Mad Cow Disease. It destroys brain tissue, is degenerative, transmissible and fatal. As such, gene therapy shots have the potential to be a deadly bio-weapon.









