|
Getting your Trinity Audio player ready... |
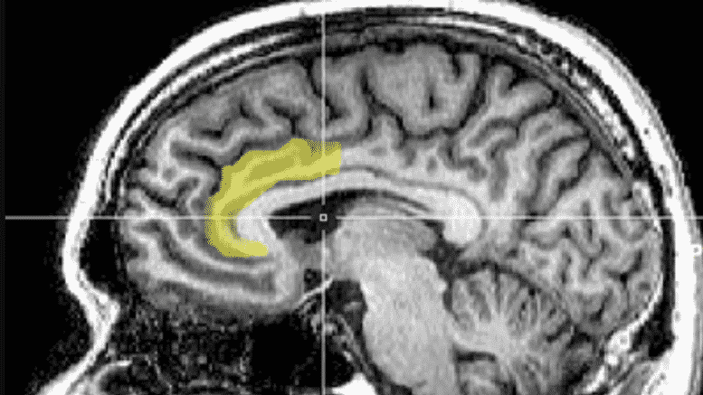
This is an essential study into the mind of a Technocrat that is dominating the world today. It is written from a Biblical world view by Michelle Dickey, a 2022 Ph.D candidate in Forensic Psychology. Cognitive dissonance and narcissism are the two main touchstones.









